Март 2007 г.

Почему инструменты ProFile® (series ISO), изготовленные фирмой Dentsply Mallifer, не соответствуют стандарту

Ржанов Е.А. кандидат медицинских наук МГМСУ

Abstract
Nowadays it's a common place that to provide safety and effectiveness of dental treatment all materials and instruments applied to the process must satisfy to the international standards. One of them in international practice is standard ISO. However, the company Dentsply Mallifer, Switzerland, produces and sells in Europe and in Russia instruments ProFile®, which are supposed to be corresponding to the standard by their trade-mark, but really are not satisfactory.

Our research and measurements show considerable deviation of these instruments from ISO standard, what implies difficulties in the process.

Key words
ProFile (series ISO), ProFile (series 29), endodontic instrument, diameter of apex of the instrument, correspondence to the standard.

Хорошо известно, что инструменты, применяемые в медицине, должны удовлетворять определённым стандартам, для того чтобы они могли успешно использоваться в международной медицинской практике независимо от того, кем и где они были изготовлены. Это имеет существенное значение с тех пор как совершенно разные материалы и инструменты стали применятся в процессе проведения одной процедуры, например при обработке и пломбировании канала в ходе эндодонтического лечения.

Сегодня является общепринятым, так же, понятие о "доказательности" медицины. Доказательная медицина подразумевает, что в процессе лечения должны использоваться только хорошо проверенные, научно обоснованные методы, безопасные материалы и инструменты, которые позволяют гарантировать успешность лечения и минимизировать количество возможных осложнений.

Для подавляющего большинства материалов и инструментов, применяемых в медицинской практике, Международной Организацией по Стандартам (ISO) сформулированы и утверждены определённые требования, которым они должны удовлетворять. Эндодонтические инструменты в этом отношении не являются исключением. Стандарт, применяемый к эндодонтическим инструментам, подразумевает, что размер верхушек инструментов должен изменяться с шагом 0.05мм, а конусность соответствовать .02 (или 2%), что указывает на то, как увеличивается диаметр (D0-D16) инструмента на каждый миллиметр длины его рабочей части (обычно 16мм), т.е. так как это показано на рисунке (рис. 1).
Рис.1.
Конусность эндодонтических инструментов.
На данный момент полностью сформулирован и утвёрждён стандарт только для стальных эндодонтических инструментов К и Н типа. Когда же речь идёт о никель титановых инструментах, отвечающих ISO стандарту, подразумевается, что размеры верхушек изменяются по сходной схеме (с шагом 0.05мм), а основное отличие относится скорее к конусности, которая бывает .04, .06, .08 и т. д. и размер инструмента от точки D0 до D16 увеличивается соответствующим образом.

Одной из первых никель титановых систем эндодонтических инструментов была система ProFile®, которая появилась на рынке в США в 1995 году и, по сути, открыла эру никель титановых вращающихся инструментов. За долгие годы использования эти инструменты прекрасно себя зарекомендовали и с успехом применяются по сей день. Более того, существует целый ряд клинических ситуаций, в которых без этих инструментов просто не обойтись. Однако не будем подробно останавливаться на методике применения данных инструментов, а перейдём к сути вопроса.

В Европе, и в нашей стране, используются инструменты ProFile® (series ISO) изготовленные и распространяемые фирмой Dentsply Mallifer, Швейцария.

Система ProFile® разработана для техники препарирования «Crown Down». Таким образом, инструментом, которым обычно заканчивается препарирование, является файл конусности .04 или .06 с размером верхушки соответствующим размеру апикального отверстия. То есть, закончив механическую обработку, мы должны получить канал размера .06 20, или .04 25 и т. д., который затем пломбируется, например конусным гуттаперчивым мастер штифтом, в технике латеральной конденсации, или обтуратором Termafil®, такжесоответствующего размера.

Однако в процессе работы данной системой инструментов не однократно отмечались трудности в окончательном пломбировании канала.

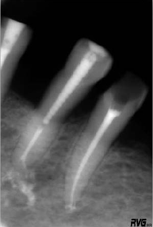
Рассмотрим данную ситуацию на примере обработки канала 35 зуба, который лечили по поводу необратимого пульпита (Рис. 2−4).

Рис.2.
Зуб 35 имел клинические симптомы необратимого пульпита в связи с чем было решено провести его эндодонтическое лечение. Диагностическая рентгенограмма.
Рис. 3.
Зуб был соответствующим образом изолирован. Проведено вскрытие полости пульпы. Канал обработан системой ProFile® до размера .06 20 (series ISO) (а). Рабочая длина контролировалась с помощью апекслокатора (б).
а
б
Рис. 4.
Рабочая длина составила 20мм.
Пломбирование канала было решено провести в технике латеральной конденсации с применением конусного мастер штифта (рис. 5−7).
Рис. 5.
Был подготовлен соответствующий гуттаперчивый штифт конусности .06 верхушка которого была откалибрована на размер 20 (а) и отмечена рабочая длинна 20 мм (б).
а
б
Рис.6.
Однако в процессе припасовки мастер штифта оказалось, что поместить его в канал на рабочую длину
не представляется возможным.
Рис. 7.
Для проверки мы поместили в канал ProFile® размера .06 25, отмерянный на рабочую длину. Интересно отметить, что инструмент не дошёл до верхушки на ту же длину, что и калиброванный мастер штифт.
а
б
Рис. 8.
В конечном итоге было принято решение «допрепарировать» канал инструментом F1 из системы ProTaper® Universal, который имеет размер верхушки 20 по ISO (а). Канал был препарирован на рабочую длину (б).
а
б
Рис. 9.
В этот раз было решено дополнительно откалибровать апекс с помощью K-File 20 (ISO) (а), отмерянного на рабочую длину (б).
а
б
Рис. 10.
После чего мастер штифт был успешно припасован (а) и канал был запломбирован полностью (б).
а
б
Рис. 11.
Однако для проверки, перед пломбировкой, в канал поместили ProFile® размера .06 25, который после препарирования инструментом F1 поместился в канал на всю рабочую длину хотя в соответствии с маркировкой
должен иметь верхушку 25 по ISO, т.е. на размер больше.
Данный пример наглядно демонстрирует, что если бы мы не "допрепарировали" канал, то столкнулись бы с ситуацией не полной его обтурации, что квалифицируется как ошибка в лечении c, соответственно, высокой вероятностью осложнений в последствии. Научно обоснован тот факт, что канал зуба должен быть запломбирован полностью, по крайней мере, до физиологического сужения апекса (если таковое имеется), так как в противном случае не исключается возникновение такого осложнения как периодонтит, вследствие неполной элиминации патогенной микрофлоры или реинфицирования канала.

Как правило, такого рода "казусы" в работе врачи склонны относить на свой счёт, то есть на нечаянное нарушение техники препарирования или на скопление дентинных опилок в апикальной части канала. Так собственно поступал и я до того момента как мне посчастливилось приобрести и всесторонне сравнить ProFile® (series ISO), произведённые компанией Dentsply Tulsa Dental, USA с инструментами произведёнными Dentsply Mallifer, Switzerland.

Результаты этих исследований меня несколько удивили, и я принял решение обратиться за разъяснениями к профессору Уильяму Бену Джонсону, выдающемуся эндодонтисту, основателю компании Tulsa Dental и разработчику системы ProFile®.

Ниже представлена моя краткая переписка с уважаемым профессором. Отмечу, что здесь представлены только те части писем, которые касаются непосредственно сути вопроса. Все материалы публикуются с разрешения профессора Джонсона.
Уважаемый др.Джонсон,

Несколько последних лет мы используем в нашей практике инструменты ProFile(seriesISO) произведённые DentsplyMaillefer, Switzerland. Я и мои коллеги обратили внимание на некоторые трудности в обтурации канала после обработки его данными инструментами. Гуттаперчивые штифты,калиброванные стандартным калибратором (GaugeforGuttaPerchaPointsRefA0186 Catalog2002-2003 Maillefer) не достигают полной рабочей длины. И было не ясно с чем это связано.

Летом 2004 года я был в США и приобрёл инструменты ProFile(seriesISO) произведённые вашей компанией TulsaDentalв США. По моему возвращению в Россию, я обнаружил, что вроде бы одинаковые инструменты существенно различаются при ближайшем рассмотрении (Рис.12).
Рисунок 12.
а) ProFile ISO .04 20 б) ProFile ISO .04 25.
Инструмент, расположенный на снимках сверху произведён компанией Маллифер.
а
б
Видно невооружённым взглядом, что верхушка "американского" инструмента существенно больше "европейского" (Рис. 13).
Рис 13.
а) ProFile ISO .04 20 б) ProFile ISO .04 25.
Инструмент, расположенный на снимках сверху произведён компанией Маллифер.
а
б
Было решено исследовать эту проблему детально. Исходя из этих целей, была проведена съёмка данных инструментов в сканирующем электронном микроскопе с очень точно калиброванной линейкой.

Инструменты ProFile ISO .04 20 (Рис. 14)

Рис. 14. ProFile ISO .04 20.
Инструмент, расположенный на снимках сверху произведён компанией Маллифер.
Данные электронных микрофотограмм позволили нам определить размер верхушек обоих инструментов. Результаты следующие:

Верхушка инструмента Maillefer — 0.15мм
Верхушка инструмента Tulsa Dental — 0.21мм

Ширина радиальных площадок различается в 2 раза — у инструмента компании Maillefer они тоньше. Угол нарезки инструмента слегка отличается.

Инструменты ProFile ISO .04 25 (рис.15)

Рис. 15. ProFile ISO .04 25.
Инструмент, расположенный на снимках сверху произведён компанией Маллифер.
Для инструментов размера .04 25

верхушка инструмента Maillefer — 0.19мм,
верхушка инструмента Tulsa Dental — 0.26мм.
Ширина радиальных площадок различается в 3 раза.
Угол нарезки инструмента, так же, слегка отличается.

Данные исследования показывают, что верхушка "европейского" инструмента меньше ISO стандарта, как минимум на размер, а верхушка "американского" инструмента полностью ему соответствует. Пожалуйста, примите к вниманию мою обеспокоенность данными фактами.

С уважением, доктор Евгений Ржанов.
Уважаемый доктор Ржанов,

Вы абсолютно правы в том, что касается различий в размерах между инструментами ProFile произведёнными в США и инструментами компании Maillefer. Инструменты ProFiles выпущенные Maillefer намеренно выпускаются меньшего размера плоть до инструментов с размером верхушки 30, после которого они становятся истинного ISO размера. Ниже прилагается производственная спецификация. Необходимо учитывать также разрешённые производственные допуски для стандарта ISO, которые составляют плюс-минус .02мм.
Рис. 16.
Производственная спецификация компании Маллифер для инструментов ProFiles (ISO series).
Данная спецификация демонстрирует своеобразный "брачный союз" (англ. marriage) размеров инструментов ProFile Series 29® и ISO. Целью было дать клиницистам некоторые преимущества конусности инструментов Series 29®, но те инструменты, которые находятся в диапазоне размеров на которых большинство людей заканчивают препарирование, имеют обычный ISO размер. Таким образом, ISO гуттаперча должна подходить. Мы не публиковали
данную информацию, так как её достаточно трудно объяснить большинству пользователей. Фактически, вы первый человек, который обратил на это внимание за все 7 лет, которые прошли с момента как компания Maillefer начала выпуск этих инструментов. Если вы захотите публиковать данную информацию, пожалуйста, включите данные разъяснения.

Спасибо.

С наилучшими пожеланиями, Др. Джонсон.
Хотелось бы выразить признательность др. Уильяму Бену Джонсону за представленную аргументацию и разрешение опубликовать данную переписку, которая состоялась в 2005 году.

Теперь имеет смысл сказать несколько слов по поводу того, что такое "Серия 29®". На наш взгляд, достаточной информации о данной системе в доступных источниках нет. Пожалуй, единственной официальной информацией является та, которая находится в каталоге продукции Tulsa Dental на сайте компании (www.tulsadental.com).

Существенной особенностью данной серии инструментов является то, что увеличение размера верхушки происходит не так как в ISO серии на 0.05мм (например 0.15, 0.20, 0.25 и т.д.), а на 29% от предыдущего размера файла то есть, например 0.129, 0.167, 0.216 и т.д. о чём свидетельствует размещённая на сайте схема (рис.17).
Рис. 17.
Схема иллюстрирующая последовательность инструментов Серии 29® и размеры верхушек в ISO эквиваленте.
(Данная иллюстрация является собственностью компании Tulsa Dental)
Следует отметить, что инструменты ProFile Series 29® никогда не продавались за пределами США, соответственно опыта их применения во врачебной практике у европейских врачей нет и большинству специалистов об этих инструментах ничего не известно. Данные же наших исследований показывают, что ProFile® серии ISO производства Maillefer, строго говоря, не вполне соответствуют размерам спецификации Серии 29®, и даже их собственной спецификации, даже с учётом производственных допусков.

Остаётся не ясным, почему на территории США ProFile® серии ISO не выпускаются в виде такого же "брачного союза", а полностью соответствуют международному стандарту.
Странно, к тому же, что отсутствует протокол применения такой специфической серии инструментов, какой являются ProFile® серии ISO производства Maillefer, в котором следовало бы указать, что минимальным размером, до которого должен быть препарирован канал, в случае их применения – это .04 30 (ISO). Хотя это тоже нуждается в проверке, поскольку если у инструмента .04 25 действительный размер 0.19 мм, а у .04 30 действительный размер уже
0.30 мм то где же тогда промежуточный инструмент с размером 0.25 мм? Или такого инструмента вообще нет?

В любом случае, целью данной публикации являлось, прежде всего, проинформировать врачебное сообщество об особенностях конструкции и возможностях применения инструментов ProFile® серии ISO выпускаемых компанией Maillefer и распространяющихся на территории России и Европы. Хотелось бы однако надеяться, что размеры столь популярных и необходимых в повседневной работе инструментов, в конце концов, будут приведены к заявленному производителем стандарту, что исключит путаницу и упростит их практическое использование.